Skip to main content
Advertisement
Advertisement

Singapore

Monkeypox cases will be given isolation orders and can recover at home from Aug 22: MOH

Monkeypox cases will be given isolation orders and can recover at home from Aug 22: MOH

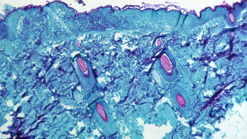
A section of skin tissue, harvested from a lesion on the skin of a monkey, that had been infected with monkeypox virus, is seen at 50X magnification on day four of rash development in 1968.

19 Aug 2022 09:41PM

SINGAPORE — Monkeypox cases will be allowed to recover at home from next Monday (Aug 22) if they are assessed to be clinically stable by a doctor and their place of residence is deemed suitable, said the Ministry of Health (MOH) on Friday.

They will be able to recover safety at their place of residence under the Home Recovery Programme, said MOH, adding that those assessed to be at higher risk of complications will continue to be managed in hospitals.

All confirmed monkeypox cases will be issued with an isolation order and are required under the Infectious Diseases Act to remain isolated until they are medically assessed to be non-infectious.

They will be taken to NCID at the end of their isolation period to undergo a discharge review.

CNA Games
Show More
Show Less

"If they are medically assessed to have fully recovered, they will be able to exit isolation. If they have not recovered, they will continue to be isolated until the next appointed discharge review," said MOH.

Currently, all monkeypox cases assessed by public hospitals to be clinically stable recover with telemedicine support at a monkeypox isolation facility.

Their place of residence is deemed suitable by MOH if it fulfils the following conditions:

  • The case can self-isolate in a bedroom with an attached bathroom, and there is an additional bathroom for other household members’ use.
  • None of the other household members are pregnant, children aged 12 and below, seniors aged 80 and above, people who are undergoing dialysis, immunocompromised or on immunosuppressants, or individuals who are at higher risk of being infected, such as those with caregiving needs.
  • The case has no pets at home. This is to avoid any animal-to-human transmission, which may occur when an animal contracts monkeypox from an infected person and then spreads to other people through bites, scratches or through direct contract with skin, mucosa, blood, and bodily fluids.

If their place of residence is not suitable, monkeypox patients may continue to recover in the isolation facility, said MOH.

Those on the home recovery programme will receive regular telemedical consultations to assess their recovery, and may be taken to the National Centre for Infectious Diseases (NCID) for additional reviews if necessary.

They can also call a dedicated MOH hotline if they require any assistance.

In the event that monkeypox cases experience any shortness of breath, chest pains, severe headaches, stiff neck, changes in mental state such as mood or behaviour, or unusual symptoms with their nerves such as numbness, weakness, changes in speech or vision, abnormal movement of the arms or legs, they should call 995 immediately and inform the operator that they are monkeypox patients.

"In line with the shift to home recovery, suspect monkeypox cases who are assessed to be clinically well will no longer be required to isolate in the hospital while awaiting their test results," said MOH.

"They may instead isolate themselves at home if they are able to do so. Those who are unable to self-isolate in their home will be isolated at an isolation facility while awaiting their test results.

"Suspect cases who are assessed to require admission for clinical care will continue to be managed in hospitals."

The Health Ministry said it will continue to monitor the monkeypox situation closely and calibrate its response measures as needed.

According to MOH's latest data, there have been 15 monkeypox cases in Singapore since June. CNA

For more reports like this, visit cna.asia.

Source: TODAY
Advertisement

Also worth reading

Advertisement